Lạc nội mạc tử cung là một bệnh lý phụ khoa mãn tính, thường gây đau bụng kinh dữ dội, đau vùng chậu kéo dài và ảnh hưởng lớn đến sức khỏe, khả năng sinh sản của chị em. Nhiều phụ nữ thắc mắc liệu lạc nội mạc tử cung trên siêu âm có phát hiện được hay không, đặc biệt là khi kết quả siêu âm có thể cho thấy bình thường nhưng triệu chứng vẫn dai dẳng và ngày càng nghiêm trọng. Siêu âm nội mạc tử cung, đặc biệt là siêu âm qua ngả âm đạo là phương pháp chẩn đoán hình ảnh được sử dụng phổ biến để phát hiện những dấu hiệu bất thường như u nang lạc nội mạc, tổn thương buồng trứng hay dính vùng chậu. Tuy nhiên, độ chính xác của siêu âm còn phụ thuộc vào nhiều yếu tố và không phải trường hợp nào cũng có thể phát hiện trên siêu âm. Để hiểu rõ hơn về hiệu quả của siêu âm với lạc nội mạc tử cung, hãy cùng Phòng khám 125 Thái Thịnh - Thai Thinh Medic tìm hiểu trong bài viết dưới đây nhé!
Lạc nội mạc tử cung là gì?
Lạc nội mạc tử cung là tình trạng các mô có cấu trúc và chức năng tương tự lớp nội mạc tử cung phát triển bên ngoài buồng tử cung, phổ biến nhất ở buồng trứng, dây chằng tử cung, phúc mạc vùng chậu, thậm chí ở ruột hoặc bàng quang.
Các mô lạc chỗ này vẫn chịu ảnh hưởng của nội tiết tố nữ và có thể phản ứng theo chu kỳ kinh nguyệt, gây viêm, phù nề và đau. Theo thời gian, bệnh có thể dẫn đến hình thành u nang lạc nội mạc, dính các cơ quan vùng chậu và rối loạn chức năng sinh sản.
Triệu chứng thường gặp bao gồm đau bụng kinh dữ dội, đau vùng chậu mãn tính, đau khi quan hệ và khó thụ thai. Tuy nhiên, mức độ triệu chứng không luôn tương xứng với mức độ tổn thương, khiến việc chẩn đoán lạc nội mạc tử cung trở nên khó khăn và dễ bị bỏ sót nếu chỉ dựa vào biểu hiện lâm sàng.
Siêu âm là công cụ chẩn đoán hình ảnh quan trọng, được các bác sĩ chỉ định để xác định tình trạng lạc nội mạc tử cung vì:
- Siêu âm là phương pháp tiếp cận đầu tay trong đánh giá nghi ngờ lạc nội mạc tử cung vì không xâm lấn, an toàn và có thể thực hiện nhanh chóng ở hầu hết cơ sở y tế.
- Siêu âm qua ngả âm đạo giúp quan sát rõ cấu trúc tử cung, buồng trứng và vùng chậu, từ đó phát hiện các dấu hiệu điển hình như u nang lạc nội mạc buồng trứng, bất thường nhu mô hay thay đổi vị trí cơ quan do dính.
- Khả năng phát hiện tổn thương có ý nghĩa lâm sàng, đặc biệt là lạc nội mạc tử cung sâu hoặc u nang kích thước lớn, giúp định hướng chẩn đoán sớm và kế hoạch điều trị phù hợp.
- Hỗ trợ đánh giá mức độ bệnh, bao gồm tình trạng dính, giảm di động tử cung – buồng trứng, từ đó giúp bác sĩ dự đoán nguy cơ đau mạn tính hoặc ảnh hưởng đến khả năng sinh sản.
- Chi phí hợp lý và dễ tiếp cận, cho phép theo dõi tiến triển bệnh hoặc đáp ứng điều trị theo thời gian, so với các phương pháp chẩn đoán hình ảnh chuyên sâu như MRI.
- Đóng vai trò định hướng các bước tiếp theo, khi siêu âm nghi ngờ nhưng chưa rõ ràng, bác sĩ có thể chỉ định thêm MRI hoặc nội soi ổ bụng để chẩn đoán xác định.

Lạc nội mạc tử cung là bệnh lý mãn tính gây ảnh hưởng đến sức khỏe và khả năng sinh sản của phụ nữ
Dấu hiệu lạc nội mạc tử cung trên siêu âm
Những dấu hiệu cảnh báo lạc nội mạc tử cung trên siêu âm bao gồm:
- U nang lạc nội mạc buồng trứng là dấu hiệu thường gặp và dễ nhận biết nhất của lạc nội mạc tử cung trên siêu âm. Hình ảnh điển hình là một hoặc nhiều nang buồng trứng chứa dịch đặc, đồng nhất, có dạng kính mờ hoặc echo hỗn hợp, thành nang thường dày và đều. U nang này thường tồn tại dai dẳng qua nhiều chu kỳ kinh, khác với nang cơ năng thông thường.
- Giảm di động tử cung và buồng trứng. Khi thực hiện siêu âm qua ngả âm đạo, bác sĩ có thể nhận thấy tử cung hoặc buồng trứng kém di động so với bình thường. Đây là dấu hiệu gợi ý tình trạng dính vùng chậu do quá trình viêm mạn tính của lạc nội mạc tử cung, ngay cả khi không thấy tổn thương rõ ràng.
- Dày hoặc biến dạng các dây chằng và mô xung quanh. Siêu âm có thể ghi nhận dây chằng tử cung- cùng, vách trực tràng – âm đạo dày lên hoặc không đều, gợi ý lạc nội mạc tử cung sâu. Những tổn thương này thường liên quan đến đau vùng chậu mạn tính và đau khi quan hệ.
- Hình ảnh khối hoặc nốt mô bất thường ngoài tử cung. Trong một số trường hợp, siêu âm phát hiện các nốt giảm âm hoặc khối mô đặc nhỏ tại phúc mạc, thành bàng quang hoặc ruột. Đây là biểu hiện của mô lạc nội mạc nằm ngoài buồng trứng, tuy khó phát hiện nhưng có giá trị chẩn đoán cao khi được ghi nhận.
- Dấu hiệu dính và thay đổi giải phẫu vùng chậu. Sự thay đổi vị trí tương quan giữa tử cung, buồng trứng và các tạng lân cận trên siêu âm có thể cho thấy tình trạng dính phức tạp. Dấu hiệu này giúp bác sĩ đánh giá mức độ bệnh và tiên lượng nguy cơ ảnh hưởng đến khả năng sinh sản.
- Không phải mọi trường hợp lạc nội mạc tử cung đều biểu hiện rõ trên siêu âm, đặc biệt là các tổn thương nông. Do đó, kết quả siêu âm cần được kết hợp với triệu chứng lâm sàng và các phương pháp chẩn đoán khác để đánh giá toàn diện.

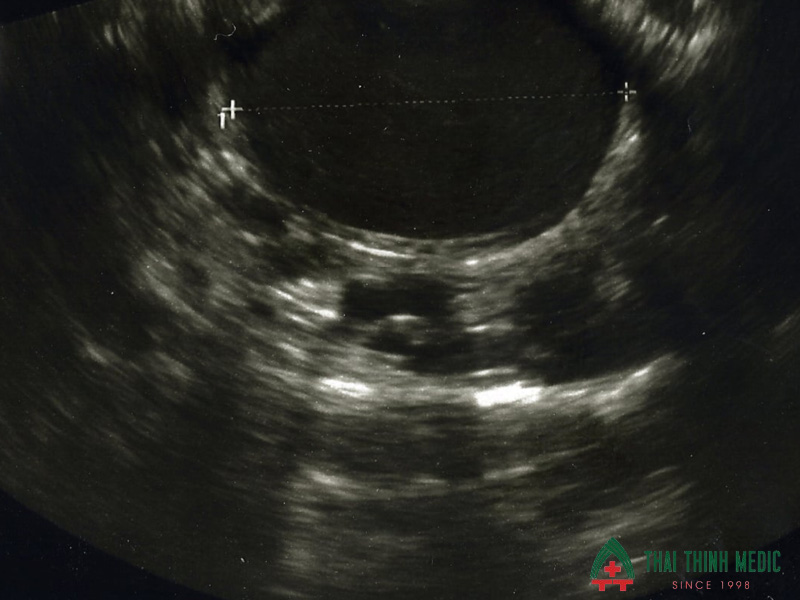
Hình ảnh lạc nội mạc tử cung trên siêu âm
Lạc nội mạc tử cung trên siêu âm có phát hiện được không?
Câu trả lời là KHÔNG HOÀN TOÀN. Siêu âm là công cụ chẩn đoán hình ảnh quan trọng nhưng không thể phát hiện 100% các trường hợp lạc nội mạc tử cung, đặc biệt là những tổn thương nhỏ hoặc lạc nội mạc tử cung nông.
Siêu âm chỉ phát hiện tốt các tổn thương cho hình ảnh rõ nét,, điển hình là u nang lạc nội mạc buồng trứng hoặc lạc nội mạc tử cung sâu gây biến đổi cấu trúc giải phẫu vùng chậu. Đây là những dạng bệnh có ý nghĩa lâm sàng cao và thường liên quan đến đau nhiều hoặc vô sinh.
Lạc nội mạc tử cung nông rất dễ bị bỏ sót trên siêu âm. Các tổn thương này chỉ nằm trên bề mặt phúc mạc, không tạo khối hay thay đổi rõ cấu trúc, nên hình ảnh siêu âm thường hoàn toàn bình thường dù người bệnh có triệu chứng rõ rệt.
Ngoài ra, độ chính xác của siêu âm còn phụ thuộc vào nhiều yếu tố, bao gồm:
- Kinh nghiệm của bác sĩ siêu âm
- Loại siêu âm sử dụng, trong đó, siêu âm qua ngả âm đạo cho độ chính xác cao hơn)
- Vị trí và mức độ lan rộng của tổn thương
Kết quả siêu âm âm tính không loại trừ hoàn toàn bệnh. Trong thực hành lâm sàng, nhiều trường hợp người bệnh có đau điển hình của lạc nội mạc tử cung nhưng siêu âm không phát hiện bất thường. Siêu âm đóng vai trò sàng lọc và định hướng, không phải tiêu chuẩn vàng tuyệt đối. Khi nghi ngờ cao, bác sĩ có thể chỉ định thêm MRI hoặc nội soi ổ bụng để chẩn đoán xác định. Vì vậy, lạc nội mạc tử cung cần được đánh giá dựa trên sự kết hợp giữa triệu chứng, siêu âm và các phương pháp chuyên sâu, thay vì chỉ dựa vào một kết quả hình ảnh đơn lẻ.
Câu hỏi thường gặp về lạc nội mạc tử cung
Siêu âm có phát hiện lạc nội mạc tử cung sớm không?
Siêu âm có thể phát hiện sớm một số dạng lạc nội mạc tử cung, đặc biệt là u nang lạc nội mạc buồng trứng hoặc tổn thương sâu gây thay đổi cấu trúc vùng chậu. Tuy nhiên, các tổn thương nông hoặc kích thước nhỏ có thể chưa biểu hiện rõ trên siêu âm, nhất là ở giai đoạn sớm của bệnh.
Siêu âm cho kết quả bình thường nhưng vẫn đau bụng kinh dữ dội có sao không?
Có. Kết quả siêu âm bình thường không loại trừ hoàn toàn lạc nội mạc tử cung. Nhiều người bệnh vẫn có triệu chứng điển hình dù hình ảnh siêu âm chưa phát hiện bất thường, đặc biệt trong trường hợp lạc nội mạc tử cung nông.
Nên siêu âm qua ổ bụng hay đầu dò âm đạo để phát hiện lạc nội mạc tử cung?
Siêu âm qua ngả âm đạo thường cho hình ảnh chi tiết và chính xác hơn trong đánh giá tử cung, buồng trứng và vùng chậu, do đó được ưu tiên khi nghi ngờ lạc nội mạc tử cung.

Siêu âm đầu dò cho hình ảnh rõ nét hơn
Bao lâu nên siêu âm lại nếu nghi ngờ lạc nội mạc tử cung?
Thời gian theo dõi phụ thuộc vào triệu chứng và chỉ định của bác sĩ. Thông thường, nếu triệu chứng kéo dài hoặc nặng hơn, người bệnh có thể được khuyến cáo siêu âm lại sau vài tháng hoặc thực hiện thêm các phương pháp chẩn đoán khác.
Siêu âm phát hiện lạc nội mạc tử cung thì có cần nội soi không?
Không phải trường hợp nào cũng cần nội soi. Nội soi thường được chỉ định khi triệu chứng nặng, nghi ngờ tổn thương phức tạp hoặc khi cần xác định chẩn đoán và điều trị đồng thời.

Không phải trường hợp nào cũng cần nội soi
Lạc nội mạc tử cung có tự khỏi không?
Lạc nội mạc tử cung là bệnh mạn tính và không tự khỏi hoàn toàn. Việc phát hiện sớm và theo dõi đúng giúp kiểm soát triệu chứng, làm chậm tiến triển và bảo vệ khả năng sinh sản.
Lạc nội mạc tử cung là bệnh lý phức tạp, khó chẩn đoán và có thể ảnh hưởng lâu dài đến sức khỏe và khả năng sinh sản nếu không được phát hiện sớm. Lạc nội mạc tử cung trên siêu âm đóng vai trò quan trọng để sàng lọc và định hướng chẩn đoán, giúp phát hiện các tổn thương có ý nghĩa lâm sàng như u nang lạc nội mạc, dính vùng chậu hay tổn thương sâu. Tuy nhiên, siêu âm không phải lúc nào cũng phát hiện được toàn bộ bệnh, do đó cần kết hợp với thăm khám lâm sàng và các phương pháp chuyên sâu khi cần thiết. Nếu bạn đang gặp tình trạng đau bụng kinh dữ dội, đau vùng chậu kéo dài hoặc khó mang thai, đừng chủ quan. Tại Phòng khám 125 Thái Thịnh với đội ngũ bác sĩ sản phụ khoa giàu kinh nghiệm và hệ thống chẩn đoán hiện đại sẵn sàng tư vấn, thăm khám và đồng hành cùng bạn, giúp phát hiện và điều trị lạc nội mạc tử cung hiệu quả.




