Với các cặp vợ chồng mong con, việc xác định thời điểm rụng trứng đóng vai trò quan trọng để tăng khả năng thụ thai. Một trong các kỹ thuật có ý nghĩa trong hỗ trợ sinh sản, đó chính là siêu âm canh trứng. Phương pháp này giúp theo dõi sự phát triển của nang noãn, đánh giá thời và dự đoán thời điểm rụng trứng nhằm tăng cơ hội thụ thai tự nhiên cho người vợ. Đồng thời, siêu âm canh trứng còn giúp bác sĩ theo dõi tình trạng buồng trứng, điều chỉnh chế độ chăm sóc sức khỏe sinh sản, phát hiện các bất thường về nội tiết hoặc nang trứng. Vậy, khi nào nên siêu âm canh trứng? Cùng Phòng khám 125 Thái Thịnh tìm hiểu trong bài viết dưới đây.
Siêu âm canh trứng là gì?
Tinh trùng có tuổi thọ từ 3-5 ngày khi sống trong môi trường âm đạo của người nữ. Trứng có tuổi thọ ngắn hơn, chỉ có thể sống 12-24 giờ. Bởi vậy, thời điểm dễ thụ thai nhất trong một chu kỳ kinh nguyệt của phụ nữ là ngày trước rụng trứng.
Siêu âm canh trứng thực chất là một phương pháp theo dõi sự phát triển của nang trứng trong buồng trứng bằng hình ảnh siêu âm. Bác sĩ sẽ dùng đầu dò siêu âm để quan sát kích thước, số lượng và tình trạng của nang trứng nhằm xác định thời điểm rụng trứng chính xác nhất.
Kỹ thuật này thường được áp dụng cho các cặp vợ chồng đang mong con, giúp tăng cao cơ hội thụ thai tự nhiên hoặc hỗ trợ các phương pháp điều trị hiếm muộn như bơm tinh trùng vào buồng tử cung (IUI) hoặc thụ tinh trong ống nghiệm (IVF).
Mục đích của siêu âm canh trứng là:
- Xác định thời điểm rụng trứng chính xác. Dựa vào sự phát triển và kích thước nang noãn, bác sĩ có thể dự đoán ngày trứng rụng để vợ chồng có kế hoạch quan hệ phù hợp.
- Tăng khả năng thụ thai tự nhiên. Việc nhận biết đúng thời điểm vàng giúp tinh trùng gặp trứng dễ dàng hơn, tăng tỷ lệ thụ tinh.
- Hỗ trợ điều trị hiếm muộn, vô sinh. Siêu âm giúp theo dõi đáp ứng của buồng trứng khi sử dụng thuốc kích trứng, từ đó điều chỉnh liều lượng an toàn và hiệu quả.
- Phát hiện bất thường của buồng trứng. Ví dụ như nang không phát triển, không rụng hoặc hình thành nang tồn dư, giúp bác sĩ kịp thời can thiệp.
- Theo dõi quá trình điều trị hỗ trợ sinh sản. Trong các kỹ thuật như IUI hoặc IVF, siêu âm canh trứng giúp xác định thời điểm chọc hút trứng chính xác, đảm bảo chất lượng phôi.

Siêu âm canh trứng giúp tăng khả năng thụ thai cho các cặp vợ chồng
Thời điểm vàng để siêu âm canh trứng tăng cơ hội thụ thai
Lựa chọn thời điểm siêu âm canh trứng đóng vai trò vô cùng quan trọng, giúp bác sĩ xác định chính xác giai đoạn phát triển của nang noãn và dự đoán thời điểm rụng trứng. Tùy vào chu kỳ kinh nguyệt của từng người, thời điểm siêu âm sẽ được điều chỉnh phù hợp để đạt hiệu quả cao nhất.
Thông thường, bác sĩ sẽ chỉ định siêu âm canh trứng vào các mốc thời gian sau:
- Lần 1: Thực hiện vào ngày thứ 2 – 3 của chu kỳ kinh nguyệt, nhằm kiểm tra tình trạng buồng trứng, niêm mạc tử cung và phát hiện sớm các nang bất thường hoặc u nang nếu có.
- Lần 2: Khoảng ngày thứ 8 – 10 của chu kỳ, bác sĩ bắt đầu theo dõi sự phát triển của các nang noãn, xác định trứng nào có khả năng chín và rụng.
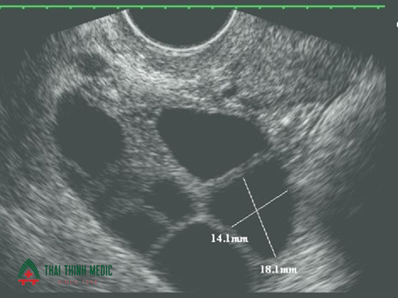
- Lần 3: Từ ngày 12 – 14, đây là thời điểm vàng để quan sát nang trứng đạt kích thước 18–22mm – dấu hiệu cho thấy trứng sắp rụng. Khi đó, bác sĩ sẽ tư vấn thời điểm quan hệ tối ưu hoặc lên kế hoạch bơm tinh trùng (IUI), kích rụng trứng tùy trường hợp.
- Theo dõi bổ sung nếu cần thiết được thực hiện nếu chu kỳ không đều hoặc trứng phát triển chậm, có thể cần thêm 1–2 lần siêu âm nữa để đảm bảo xác định đúng ngày rụng trứng.
Nói cách khác, thời điểm siêu âm canh trứng lý tưởng sẽ tùy thuộc vào cơ địa và độ dài chu kỳ kinh nguyệt của mỗi phụ nữ. Do đó, chị em nên trao đổi trực tiếp với bác sĩ chuyên khoa sản, hiếm muộn để được tư vấn lịch siêu âm phù hợp, tăng khả năng thụ thai tự nhiên một cách an toàn và hiệu quả nhất.

Thời điểm siêu âm canh trứng bắt đầu từ ngày 2- 3 của chu kỳ kinh
Các phương pháp siêu âm canh trứng phổ biến
Trong siêu âm canh trứng, bác sĩ có thể áp dụng hai kỹ thuật chính: siêu âm đầu dò âm đạo và siêu âm qua thành bụng. Mỗi phương pháp có đặc điểm, ưu điểm và phạm vi áp dụng riêng.
Siêu âm đầu dò
Siêu âm đầu dò âm đạo là phương pháp phổ biến nhất trong canh trứng, đặc biệt được ưu tiên cho phụ nữ trong độ tuổi sinh sản. Kỹ thuật này sử dụng đầu dò nhỏ, đưa nhẹ vào âm đạo để quan sát trực tiếp buồng trứng, nang trứng, tử cung và nội mạc tử cung.
- Độ chính xác cao, hình ảnh cận cảnh giúp bác sĩ đo được kích thước nang trứng với sai số chỉ vài milimet.
- Không bị ảnh hưởng bởi lớp mỡ bụng hay hơi trong ruột, do đó hình ảnh rõ hơn nhiều so với siêu âm thành bụng.
- Giúp phát hiện các bất thường nhỏ ở buồng trứng hoặc niêm mạc tử cung – điều mà siêu âm ổ bụng có thể bỏ sót. Phù hợp theo dõi sự phát triển của trứng trong chu kỳ tự nhiên hoặc có kích trứng hỗ trợ.

Siêu âm đầu dò cho hình ảnh sắc nét
Siêu âm qua thành bụng
Siêu âm ổ bụng là kỹ thuật được áp dụng cho những phụ nữ chưa từng quan hệ tình dục, hoặc trong một số trường hợp cần quan sát tổng quan cơ quan vùng chậu.
Bác sĩ đặt đầu dò siêu âm lên vùng bụng dưới sau khi bôi gel dẫn truyền. Bệnh nhân cần uống nước trước khi siêu âm để bàng quang căng lên, giúp đẩy ruột ra khỏi vùng chậu, từ đó hình ảnh rõ hơn.
- Phương pháp không xâm lấn, phù hợp với mọi đối tượng.
- Giúp quan sát tổng thể tử cung, buồng trứng và các cấu trúc lân cận.
- Dễ thực hiện, không gây khó chịu cho người bệnh.
- Tuy nhiên, hình ảnh có thể mờ hoặc thiếu chi tiết nếu thành bụng dày hoặc bệnh nhân chưa uống đủ nước. Độ chính xác thấp hơn so với siêu âm đầu dò âm đạo. Khó theo dõi sự phát triển nhỏ lẻ của nang trứng trong giai đoạn đầu chu kỳ.

Siêu âm thành bụng
Đối tượng nên đi siêu âm canh trứng
Siêu âm canh trứng là bước quan trọng giúp bác sĩ đánh giá khả năng rụng trứng và hỗ trợ các cặp vợ chồng lên kế hoạch mang thai hiệu quả. Không chỉ dành cho người đang điều trị hiếm muộn, phương pháp này còn có ích với nhiều nhóm phụ nữ khác.
- Các cặp vợ chồng đang mong con giúp xác định chính xác ngày rụng trứng để tăng khả năng thụ thai tự nhiên.
- Phụ nữ có chu kỳ kinh nguyệt không đều, theo dõi hoạt động buồng trứng và điều chỉnh kế hoạch sinh sản phù hợp.
- Người đang điều trị hiếm muộn hoặc kích trứng. Siêu âm là công cụ bắt buộc để bác sĩ theo dõi đáp ứng buồng trứng và điều chỉnh thuốc.
- Phụ nữ sau điều trị các bệnh phụ khoa như u nang buồng trứng, viêm nhiễm, lạc nội mạc tử cung giúp bác sĩ đánh giá khả năng hồi phục chức năng sinh sản.
- Người chuẩn bị thực hiện các kỹ thuật hỗ trợ sinh sản (IUI, IVF) cần xác định chính xác thời điểm rụng trứng để can thiệp đúng lúc.

Siêu âm canh trứng đo chính xác kích thước nang trứng
Canh trứng rụng để thụ thai cần lưu ý những gì?
- Trong mỗi chu kỳ kinh tự nhiên thường chỉ có 1 nang trứng phát triển thành nang trứng trội, nhưng cũng có khi 2 nang phát triển thành nang trứng trội (lý giải cho hiện tượng sinh đôi khác trứng).
- Nang trội sẽ phát triển thành nang trưởng thành và rụng trứng. Tuy nhiên, không phải lúc nào trứng cũng rụng vào giữa chu kỳ mà có thể rụng vào cuối chu kỳ hoặc đầu chu kỳ tiếp theo.
- "Cửa sổ thời gian" giao hợp dễ có thai nhất là trong 6 ngày: 5 ngày trước rụng trứng và ngày rụng trứng. Trứng sau khi rụng chỉ có khả năng thụ tinh tốt nhất trong 12 giờ đầu (tối đa 24 giờ sau rụng trứng). Ngày giao hợp có khả năng có thai cao nhất là 2 ngày trước khi rụng trứng..
- Thay đổi thói quen sinh hoạt, ăn uống, tâm trạng, cảm xúc, môi trường... có thể tạo ra một sự thay đổi nhỏ trong cân bằng hormone. Điều này hoàn toàn có thể tác động đến thời điểm rụng trứng và chu kỳ kinh nguyệt của người phụ nữ, làm cho kinh nguyệt xuất hiện sớm hoặc muộn hơn...
Câu hỏi thường gặp về siêu âm canh trứng
Siêu âm canh trứng có đau không?
Không. Siêu âm canh trứng, đặc biệt là siêu âm đầu dò, có thể hơi khó chịu nhẹ nhưng không gây đau. Bác sĩ sẽ thực hiện nhẹ nhàng, đảm bảo an toàn và thoải mái cho người bệnh.
Siêu âm canh trứng nên thực hiện bao nhiêu lần trong một chu kỳ?
Thông thường, bạn sẽ cần 2–4 lần siêu âm để theo dõi quá trình phát triển và rụng trứng, tùy vào độ dài chu kỳ và đáp ứng buồng trứng của từng người.
Siêu âm canh trứng có giúp tăng khả năng thụ thai không?
Có. Phương pháp này giúp xác định chính xác thời điểm rụng trứng, từ đó tăng khả năng thụ thai tự nhiên hoặc hỗ trợ cho các kỹ thuật như IUI, IVF.

Đánh giá chất lượng trứng và dự đoán thời điểm rụng trứng
Siêu âm canh trứng có cần nhịn ăn không?
Không cần. Tuy nhiên, nếu siêu âm qua đường bụng, bạn nên uống nước để căng bàng quang, giúp hình ảnh rõ hơn.
Có cần kiêng quan hệ khi siêu âm canh trứng không?
Không cần kiêng tuyệt đối, trừ khi bác sĩ có chỉ định riêng. Ngược lại, khi bác sĩ xác định thời điểm trứng sắp rụng, quan hệ trong 24–36 giờ sau đó là thời điểm vàng để thụ thai.
Siêu âm canh trứng là phương pháp an toàn, chính xác và cần thiết cho những phụ nữ đang mong con hoặc theo dõi sức khỏe sinh sản. Điều quan trọng là bạn cần lựa chọn thời điểm và cơ sở y tế uy tín giúp bạn nắm bắt chính xác thời gian rụng trứng, tăng cơ hội thụ thai tự nhiên.
Nếu bạn đang tìm địa chỉ tin cậy, Phòng khám Đa khoa 125 Thái Thịnh - Thai Thinh Medic là lựa chọn lý tưởng với đội ngũ bác sĩ sản phụ khoa giàu kinh nghiệm và thiết bị siêu âm hiện đại, sẵn sàng đồng hành cùng bạn trên hành trình làm mẹ trọn vẹn và an toàn.




