Siêu âm phụ khoa là một trong những phương pháp chẩn đoán hình ảnh quan trọng, giúp phát hiện sớm các bệnh lý ở cơ quan sinh sản phụ nữ như tử cung, buồng trứng hay vùng chậu. Tuy nhiên, vẫn nhiều chị em còn băn khoăn siêu âm phụ khoa phát hiện được những bệnh gì, có đau không? Theo thống kê từ Tổ chức Y tế Thế giới, mỗi năm có đến hàng triệu phụ nữ mắc bệnh phụ khoa nhưng không được phát hiện kịp thời do không thăm khám định kỳ. Tại Việt Nam, Bộ Y tế khuyến cáo phụ nữ nên kiểm tra, siêu âm tử cung buồng trứng và khám phụ khoa định kỳ, giúp phát hiện sớm các bất thường và điều trị kịp thời. Vậy siêu âm phụ khoa có vai trò gì và khi nào cần thực hiện? Hãy cùng Phòng khám 125 Thái Thịnh - Thai Thinh Medic tìm hiểu trong bài viết dưới đây.
Siêu âm phụ khoa là gì?
Siêu âm phụ khoa là phương pháp chẩn đoán hình ảnh sử dụng sóng siêu âm tần số cao để quan sát cấu trúc và hoạt động của các cơ quan sinh sản nữ. Thông qua hình ảnh hiển thị trên màn hình, bác sĩ có thể đánh giá tình trạng của tử cung, buồng trứng và các cơ quan vùng chậu nhằm phát hiện sớm những bất thường hoặc bệnh lý phụ khoa.
Phương pháp này được đánh giá là an toàn, không xâm lấn và không sử dụng tia bức xạ, vì vậy có thể thực hiện định kỳ để theo dõi sức khỏe sinh sản. Theo khuyến nghị của Tổ chức Y tế Thế giới, siêu âm phụ khoa đóng vai trò quan trọng trong việc tầm soát bệnh phụ khoa, theo dõi thai sớm và hỗ trợ chẩn đoán nhiều vấn đề liên quan đến khả năng sinh sản của phụ nữ.
Thông qua siêu âm, bác sĩ có thể quan sát chi tiết nhiều cơ quan trong hệ sinh sản nữ. Siêu âm phụ khoa giúp phát hiện sớm các bệnh lý phụ khoa và đánh giá sức khỏe sinh sản của phụ nữ. Siêu âm phụ khoa kiểm tra được các bộ phận:
- Tử cung: Siêu âm giúp đánh giá kích thước, hình dạng và cấu trúc của tử cung. Nhờ đó, bác sĩ có thể phát hiện các bất thường như u xơ tử cung, dị dạng tử cung hoặc các dấu hiệu viêm nhiễm.
- Buồng trứng: Đây là cơ quan quan trọng liên quan đến quá trình rụng trứng và sinh sản. Siêu âm buồng trứng giúp phát hiện các vấn đề như u nang buồng trứng, buồng trứng đa nang hoặc khối u bất thường.
- Cổ tử cung: Siêu âm có thể hỗ trợ đánh giá chiều dài và cấu trúc cổ tử cung, giúp phát hiện các dấu hiệu viêm nhiễm hoặc tổn thương tại khu vực này.
- Vòi trứng: Mặc dù vòi trứng khó quan sát hơn so với các cơ quan khác, nhưng trong một số trường hợp siêu âm vẫn có thể phát hiện tình trạng giãn vòi trứng hoặc viêm nhiễm.
- Vùng tiểu khung và mô xung quanh: Siêu âm phụ khoa còn giúp kiểm tra toàn bộ vùng tiểu khung, phát hiện các khối u, dịch bất thường hoặc dấu hiệu viêm nhiễm ở các cơ quan lân cận.

Siêu âm phụ khoa giúp bảo vệ khả năng sinh sản
Siêu âm phụ khoa phát hiện được những bệnh gì?
Siêu âm phụ khoa có thể phát hiện được những bệnh gì? Và khi nào cần siêu âm phụ khoa? khám phụ khoa định kỳ và siêu âm giúp phát hiện sớm các bệnh lý đường sinh sản, giúp chủ động bảo vệ sức khỏe và khả năng sinh sản.
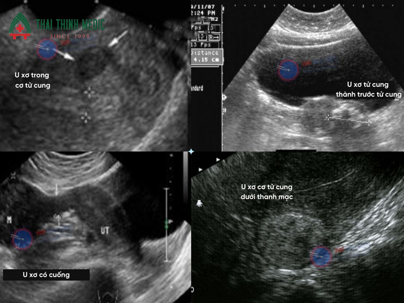
Phát hiện u xơ tử cung
U xơ tử cung là một trong những bệnh lý phụ khoa phổ biến ở phụ nữ trong độ tuổi sinh sản. Đây là khối u lành tính phát triển từ lớp cơ của tử cung và có thể gây ra nhiều triệu chứng như đau bụng dưới, rong kinh hoặc chảy máu bất thường. Tuy nhiên, trong giai đoạn đầu, u xơ tử cung thường không có dấu hiệu rõ ràng nên rất khó phát hiện nếu không thăm khám định kỳ.
Siêu âm phụ khoa giúp bác sĩ quan sát rõ cấu trúc tử cung và phát hiện các khối u nhỏ ngay từ giai đoạn sớm. Thông qua hình ảnh siêu âm, bác sĩ có thể đánh giá kích thước, vị trí và số lượng khối u để đưa ra phương án theo dõi hoặc điều trị phù hợp. Việc phát hiện sớm u xơ tử cung giúp hạn chế nguy cơ biến chứng như thiếu máu, đau vùng chậu hoặc ảnh hưởng đến khả năng sinh sản.
Nhờ khả năng quan sát chi tiết tử cung, siêu âm phụ khoa là công cụ quan trọng giúp phát hiện sớm u xơ tử cung và kiểm soát bệnh hiệu quả. Siêu âm phụ khoa giúp phát hiện u xơ tử cung thông qua:
- Quan sát kích thước và hình dạng tử cung để phát hiện khối u bất thường
- Xác định vị trí khối u trong thành tử cung, dưới niêm mạc hoặc ngoài tử cung
- Đánh giá số lượng và kích thước u xơ
- Theo dõi sự phát triển của khối u theo thời gian
- Hỗ trợ bác sĩ đưa ra phương pháp điều trị phù hợp

U xơ tử cung
U nang buồng trứng
U nang buồng trứng là tình trạng xuất hiện các túi chứa dịch phát triển trong hoặc trên bề mặt buồng trứng. Phần lớn các u nang buồng trứng là lành tính, nhưng nếu phát triển lớn hoặc kéo dài có thể gây đau vùng bụng dưới, rối loạn kinh nguyệt và ảnh hưởng đến khả năng sinh sản.
Siêu âm phụ khoa là phương pháp phổ biến nhất để phát hiện u nang buồng trứng. Hình ảnh siêu âm giúp bác sĩ nhận biết sự xuất hiện của các nang bất thường trong buồng trứng cũng như đánh giá kích thước và đặc điểm của khối nang. Nhờ đó, bác sĩ có thể phân biệt giữa u nang sinh lý và u nang bệnh lý.
- Phát hiện các nang chứa dịch trong buồng trứng
- Đánh giá kích thước và cấu trúc của u nang
- Theo dõi sự thay đổi của u nang theo chu kỳ kinh nguyệt
- Phân biệt u nang lành tính và các khối u nghi ngờ
- Hỗ trợ quyết định theo dõi hoặc điều trị

U nang buồng trứng
Hội chứng buồng trứng đa nang
Hội chứng buồng trứng đa nang là một rối loạn nội tiết thường gặp ở phụ nữ trong độ tuổi sinh sản. Bệnh có thể gây ra các triệu chứng như rối loạn kinh nguyệt, khó mang thai, tăng cân hoặc mọc nhiều lông trên cơ thể. Tuy nhiên, không phải ai mắc bệnh cũng có biểu hiện rõ ràng.
Siêu âm phụ khoa đóng vai trò quan trọng trong việc hỗ trợ chẩn đoán hội chứng buồng trứng đa nang. Trên hình ảnh siêu âm, bác sĩ có thể thấy nhiều nang nhỏ xuất hiện ở buồng trứng, tạo thành hình ảnh đặc trưng của bệnh.
Phát hiện sớm hội chứng buồng trứng đa nang giúp phụ nữ có hướng điều trị kịp thời, cải thiện sức khỏe sinh sản và giảm nguy cơ vô sinh.
- Quan sát số lượng nang nhỏ trong buồng trứng
- Đánh giá kích thước và cấu trúc buồng trứng
- Phát hiện sự thay đổi bất thường trong quá trình rụng trứng
- Hỗ trợ chẩn đoán rối loạn nội tiết liên quan đến sinh sản
- Theo dõi hiệu quả điều trị và khả năng sinh sản

Buồng trứng đa nang
Viêm vùng chậu
Viêm vùng chậu là tình trạng nhiễm trùng xảy ra ở các cơ quan sinh sản nữ như tử cung, vòi trứng và buồng trứng. Nếu không được điều trị sớm, bệnh có thể gây ra nhiều biến chứng nghiêm trọng như vô sinh hoặc thai ngoài tử cung.
Siêu âm phụ khoa giúp phát hiện các dấu hiệu viêm nhiễm trong vùng chậu như dịch bất thường, tổn thương ở vòi trứng hoặc cấu trúc bất thường của các cơ quan sinh sản. Mặc dù siêu âm không phải là phương pháp duy nhất để chẩn đoán viêm vùng chậu, nhưng đây là bước kiểm tra quan trọng giúp bác sĩ đánh giá tình trạng bệnh.
- Phát hiện dịch bất thường trong vùng chậu
- Quan sát tình trạng viêm hoặc sưng của các cơ quan sinh sản
- Đánh giá tổn thương ở vòi trứng và buồng trứng
- Phát hiện áp xe hoặc ổ nhiễm trùng
- Theo dõi quá trình điều trị viêm nhiễm

Viêm vùng chậu
Các phương pháp siêu âm phụ khoa phổ biến
Hiện nay, có nhiều phương pháp siêu âm phụ khoa khác nhau, tùy thuộc vào tình trạng sức khỏe, độ tuổi và mục đích kiểm tra của người bệnh. Mỗi kỹ thuật siêu âm sẽ có ưu điểm riêng và được bác sĩ chỉ định trong từng trường hợp cụ thể để đảm bảo kết quả chẩn đoán chính xác.
- Siêu âm phụ khoa qua đường bụng là phương pháp siêu âm phổ biến, thường được áp dụng cho phụ nữ chưa quan hệ tình dục hoặc cần kiểm tra tổng quát vùng bụng dướ để quan sát tử cung, buồng trứng và các cơ quan trong vùng chậu.
- Siêu âm phụ khoa đầu dò âm đạo quan sát trực tiếp các cơ quan sinh sản, cho hình ảnh chi tiết và rõ ràng hơn, giúp phát hiện sớm nhiều bệnh lý như u nang buồng trứng, u xơ tử cung hoặc các bất thường ở nội mạc tử cung. Kỹ thuật này thường được chỉ định cho phụ nữ đã quan hệ tình dục.
- Siêu âm Doppler phụ khoa là phương pháp siêu âm chuyên sâu giúp đánh giá dòng máu lưu thông trong các cơ quan sinh sản, có thể phát hiện các bất thường về mạch máu, hỗ trợ chẩn đoán khối u hoặc đánh giá mức độ phát triển của một số bệnh lý phụ khoa.
- Siêu âm 3D – 4D phụ khoa giúp tái tạo hình ảnh không gian ba chiều của tử cung và buồng trứng, từ đó hỗ trợ phát hiện các dị dạng tử cung, polyp nội mạc hoặc khối u nhỏ mà siêu âm thông thường có thể khó nhận thấy. Phương pháp này thường được áp dụng trong các trường hợp cần đánh giá chi tiết cấu trúc cơ quan sinh sản.

Lựa chọn phương pháp siêu âm phù hợp
Khi nào cần siêu âm phụ khoa?
- Khám phụ khoa định kỳ: Phụ nữ trong độ tuổi sinh sản nên thực hiện siêu âm phụ khoa định kỳ khoảng 6–12 tháng/lần. Việc kiểm tra thường xuyên giúp phát hiện sớm các bệnh lý như U nang buồng trứng, U xơ tử cung hoặc các bất thường ở nội mạc tử cung ngay cả khi chưa có triệu chứng.
- Xuất hiện dấu hiệu bất thường ở vùng kín: Nếu gặp các triệu chứng như đau bụng dưới kéo dài, khí hư ra nhiều, có mùi lạ, ngứa vùng kín hoặc chảy máu âm đạo bất thường ngoài kỳ kinh, phụ nữ nên đi siêu âm phụ khoa sớm để xác định nguyên nhân và điều trị kịp thời.
- Rối loạn kinh nguyệt: Tình trạng kinh nguyệt không đều, rong kinh, chậm kinh hoặc mất kinh trong thời gian dài có thể liên quan đến các vấn đề ở buồng trứng hoặc nội tiết tố. Siêu âm giúp bác sĩ đánh giá hoạt động của buồng trứng và phát hiện các bệnh lý như Hội chứng buồng trứng đa nang.
- Khó mang thai hoặc đang theo dõi khả năng sinh sản: Với những phụ nữ gặp khó khăn trong việc thụ thai, siêu âm phụ khoa giúp theo dõi quá trình phát triển nang trứng, đánh giá cấu trúc tử cung và phát hiện những bất thường có thể ảnh hưởng đến khả năng mang thai.
- Theo dõi thai sớm hoặc nghi ngờ mang thai ngoài tử cung: Khi nghi ngờ có thai, siêu âm phụ khoa giúp xác định vị trí túi thai, tuổi thai và kiểm tra sự phát triển ban đầu của thai nhi. Ngoài ra, siêu âm còn giúp phát hiện sớm tình trạng Thai ngoài tử cung để xử trí kịp thời.
- Theo dõi sau điều trị bệnh phụ khoa: Với những phụ nữ đã từng điều trị u nang buồng trứng, u xơ tử cung hoặc các bệnh phụ khoa khác, siêu âm định kỳ giúp kiểm tra hiệu quả điều trị và phát hiện sớm nguy cơ tái phát.

Thăm khám định kỳ hoặc khi có dấu hiệu bất thường
Quy trình siêu âm phụ khoa
- Bước 1: Thăm khám và tư vấn ban đầu, bác sĩ sẽ hỏi về tình trạng sức khỏe, chu kỳ kinh nguyệt, tiền sử bệnh phụ khoa hoặc các triệu chứng bất thường nếu có để chỉ định biện pháp siêu âm phù hợp.
- Bước 2: Chuẩn bị trước khi siêu âm, với siêu âm ổ bụng, bạn nên uống nhiều nước để làm căng bàng quang giúp hình ảnh rõ nét hơn hoặc đi tiểu trước khi siêu âm đầu dò.
- Bước 3: Tiến hành siêu âm bằng cách di chuyển đầu dò trên vùng bụng dưới đã bôi gel hoặc siêu âm đầu dò âm đạo.
- Bước 4: Quan sát và ghi nhận hình ảnh các cơ quan sinh sản sẽ hiển thị trên màn hình giúp bác sĩ sẽ đánh giá cấu trúc, kích thước và phát hiện các dấu hiệu bất thường như khối u, nang hoặc viêm nhiễm nếu có.
- Bước 5: Kết luận và tư vấn kết quả, bác sĩ sẽ giải thích kết quả cho người bệnh, đồng thời đưa ra lời khuyên về việc theo dõi, điều trị hoặc kiểm tra bổ sung nếu cần thiết.

Mặc trang phục thoải mái khi đi siêu âm
Siêu âm phụ khoa có đau không?
Nhiều phụ nữ khi chuẩn bị đi khám thường lo lắng siêu âm phụ khoa có đau không. Câu trả lời là không. Siêu âm phụ khoa là phương pháp chẩn đoán hình ảnh nhẹ nhàng, hầu như không gây khó chịu nếu thực hiện đúng kỹ thuật.
Đối với siêu âm phụ khoa qua đường bụng, bác sĩ chỉ di chuyển đầu dò trên vùng bụng dưới sau khi bôi gel dẫn truyền. Vì không có sự xâm nhập vào cơ thể nên phương pháp này gần như không gây đau, người bệnh chỉ cảm thấy hơi lạnh do gel siêu âm và áp lực nhẹ từ đầu dò.
Siêu âm đầu dò âm đạo có thể khiến một số người cảm thấy hơi khó chịu trong lần đầu thực hiện. Tuy nhiên, đầu dò được thiết kế nhỏ, có bao bảo vệ và được đưa vào âm đạo rất nhẹ nhàng nên cảm giác này thường không kéo dài và không gây đau đáng kể.

Siêu âm phụ khoa thường không gây khó chịu
Những điều cần lưu ý khi siêu âm phụ khoa
Để kết quả siêu âm phụ khoa chính xác và quá trình kiểm tra diễn ra thuận lợi, chị em nên chuẩn bị và lưu ý một số điểm quan trọng trước khi thực hiện:
- Thời điểm nên đi siêu âm cho kết quả tốt nhất, đó là sau sạch kinh khoảng 3 - 5 ngày. Lúc này niêm mạc tử cung mỏng, giúp bác sĩ quan sát rõ hơn những bất thường ở tử cung, buồng trứng.
- Nếu siêu âm qua đường bụng, bạn nên uống nhiều nước và nhịn tiểu để làm căng bàng quang, giúp hình ảnh rõ nét hơn. Nếu siêu âm đầu dò âm đạo, nên đi tiểu trước khi thực hiện.
- Vệ sinh vùng kín sạch sẽ trước khi thăm khám nhưng không nên thụt rửa âm đạo sâu, tránh ảnh hưởng đến môi trường tự nhiên bên trong âm đạo.
- Thông báo và trao đổi với bác sĩ về tình trạng sức khỏe như đau bụng dưới, khí hư nhiều, rối loạn kinh nguyệt hoặc tiền sử bệnh phụ khoa như u nang buồng trứng hay u xơ tử cung. Những thông tin này giúp bác sĩ đánh giá tình trạng sức khỏe chính xác hơn.
- Giữ tâm lý thoải mái khi siêu âm để tránh cảm giác khó chịu khi siêu âm.

Thả lỏng để siêu âm nhanh chóng và thoải mái hơn
Câu hỏi thường gặp khi đi siêu âm phụ khoa
Bao lâu nên siêu âm phụ khoa một lần?
Các chuyên gia khuyến cáo phụ nữ nên siêu âm phụ khoa định kỳ khoảng 6–12 tháng/lần ngay cả khi không có triệu chứng bất thường. Việc kiểm tra định kỳ giúp phát hiện sớm các bệnh lý như U nang buồng trứng, U xơ tử cung hoặc các vấn đề ở nội mạc tử cung. Nếu có dấu hiệu bất thường như đau bụng dưới, rối loạn kinh nguyệt hoặc khí hư bất thường, phụ nữ nên đi siêu âm sớm hơn theo chỉ định của bác sĩ.
Chưa quan hệ tình dục có siêu âm phụ khoa được không?
Câu trả lời là có. Với những phụ nữ chưa quan hệ tình dục, bác sĩ thường chỉ định siêu âm phụ khoa qua đường bụng để đảm bảo an toàn và tránh ảnh hưởng đến màng trinh. Phương pháp này vẫn có thể giúp quan sát tử cung, buồng trứng và phát hiện nhiều bệnh lý phụ khoa.

Chưa quan hệ tình dục cũng có thể siêu âm phụ khoa
Siêu âm phụ khoa mất bao lâu?
Thông thường, một lần siêu âm phụ khoa chỉ mất khoảng 10–20 phút. Thời gian có thể kéo dài hơn nếu bác sĩ cần kiểm tra chi tiết hoặc phát hiện dấu hiệu bất thường cần đánh giá thêm.
Siêu âm phụ khoa có ảnh hưởng đến khả năng sinh sản không?
Siêu âm phụ khoa là phương pháp không xâm lấn và không sử dụng tia bức xạ, vì vậy hoàn toàn không ảnh hưởng đến khả năng sinh sản. Ngược lại, việc siêu âm định kỳ còn giúp phát hiện sớm các bệnh lý như Hội chứng buồng trứng đa nang để điều trị kịp thời, từ đó bảo vệ sức khỏe sinh sản.
Siêu âm phụ khoa bao nhiêu tiền?
Chi phí siêu âm phụ khoa có thể khác nhau tùy thuộc vào cơ sở y tế và phương pháp siêu âm được thực hiện. Thông thường, siêu âm phụ khoa có chi phí từ 300.000 đồng - 700.000 đồng. Tuy nhiên, nếu cần thực hiện các kỹ thuật siêu âm chuyên sâu hoặc kiểm tra thêm, chi phí có thể cao hơn.
Siêu âm phụ khoa là phương pháp kiểm tra quan trọng giúp phát hiện sớm nhiều bệnh lý ở tử cung, buồng trứng và các cơ quan sinh sản nữ. Chị em nên thực hiện siêu âm định kỳ, không chỉ theo dõi sức khỏe sinh sản mà còn phát hiện kịp thời những bệnh lý nguy hiểm. Tại Phòng khám 125 Thái Thịnh - Thai Thinh Medic có đội ngũ bác sĩ, hệ thống thiết bị y tế hiện đại cho kết quả thăm khám nhanh chóng, chính xác.




