Hội chứng buồng trứng đa nang (PCOS - Polycystic Ovary Syndrome) ảnh hưởng đến 1 trong 10 phụ nữ trong độ tuổi sinh sản tại Việt Nam. Đây là rối loạn nội tiết phổ biến gây kinh nguyệt không đều, khó thụ thai, tăng cân, mụn trứng cá và rậm lông. Theo nghiên cứu, 70% phụ nữ mắc PCOS không được chẩn đoán sớm, dẫn đến nguy cơ vô sinh, đái tháo đường type 2 và bệnh tim mạch. Để hiểu đúng về hội chứng buồng trứng đa nang, giúp chị em chủ động thăm khám, điều trị và kiểm soát bệnh hiệu quả hơn, hãy cùng theo dõi trong bài viết dưới đây của Phòng khám 125 Thái Thịnh - Thai Thinh Medic nhé!
Hội chứng buồng trứng đa nang (PCOS) là gì?
Hội chứng buồng trứng đa nang (Polycystic Ovary Syndrome – PCOS) là một rối loạn nội tiết mạn tính thường gặp ở phụ nữ trong độ tuổi sinh sản, đặc trưng bởi sự mất cân bằng hormone sinh dục nữ. PCOS xảy ra khi buồng trứng sản xuất quá nhiều hormone androgen (hormone nam), làm cản trở quá trình rụng trứng bình thường và gây rối loạn chu kỳ kinh nguyệt. Trên siêu âm, buồng trứng có thể xuất hiện nhiều nang nhỏ, tuy nhiên không phải mọi trường hợp PCOS đều có hình ảnh này.
PCOS không chỉ ảnh hưởng đến khả năng sinh sản mà còn liên quan chặt chẽ đến đề kháng insulin, rối loạn chuyển hóa, tăng cân và nguy cơ đái tháo đường type 2. Đây là bệnh lý tiến triển lâu dài, cần được phát hiện sớm và theo dõi liên tục để hạn chế biến chứng, đặc biệt là khởi phát sau tuổi dậy thì, nhưng đôi khi chỉ được phát hiện khi bạn cố gắng mang thai.
Một số người mắc PCOS có các nang nhỏ (túi chứa dịch) trong buồng trứng, vì thế tình trạng này được gọi là "đa nang." Tuy nhiên, tên gọi này đôi khi gây hiểu lầm, vì nhiều người mắc PCOS không có nang. Thậm chí, không ít người hoàn toàn không có triệu chứng nào, dẫn đến việc có tới 70% người mắc PCOS không nhận ra mình bị bệnh. Tình trạng này xảy ra ở khoảng 1 trong 10 phụ nữ trong độ tuổi sinh sản, và là một trong những nguyên nhân phổ biến nhất gây vô sinh.
Mặc dù PCOS không thể chữa khỏi hoàn toàn, các triệu chứng thường giảm bớt sau khi mãn kinh. Trong thời gian đó, có nhiều phương pháp điều trị giúp giảm triệu chứng và hỗ trợ bạn trong việc mang thai.

Hội chứng buồng trứng đa nang (PCOS) là rối loạn nội tiết gây kinh nguyệt không đều, cường androgen, và có nhiều nang nhỏ ở buồng trứng
Đối tượng dễ bị hội chứng buồng trứng đa nang
Hội chứng buồng trứng đa nang (PCOS) có thể gặp ở nhiều đối tượng khác nhau, tuy nhiên một số phụ nữ có nguy cơ mắc bệnh cao hơn do yếu tố di truyền, nội tiết và lối sống. Việc nhận diện sớm các nhóm nguy cơ giúp chủ động tầm soát và can thiệp kịp thời.
- Phụ nữ trong độ tuổi sinh sản, từ tuổi dậy thì đến khoảng 35–40 tuổi. Bệnh dễ bị bỏ sót do nhầm lẫn với rối loạn kinh nguyệt sinh lý giai đoạn đầu
- Người có tiền sử gia đình mắc PCOS hoặc rối loạn nội tiết, có người mắc đái tháo đường type 2, rối loạn chuyển hóa
- Phụ nữ thừa cân, béo phì vì mỡ thừa làm tăng đề kháng insulin, kích thích buồng trứng sản xuất androgen, tăng cân nhanh, béo bụng là yếu tố nguy cơ rõ rệt
- Người có rối loạn kinh nguyệt kéo dài, kinh thưa, vô kinh, chu kỳ không đều từ sau dậy thì, rối loạn rụng trứng kéo dài nhưng chưa được điều trị
- Phụ nữ có dấu hiệu hormone nam cao như rậm lông, mụn trứng cá nặng, rụng tóc nhiều, xét nghiệm cho thấy androgen tăng cao
- Người có lối sống ít vận động, ăn uống nhiều đường – tinh bột dễ dẫn đến đề kháng insulin và rối loạn hormone
Nguyên nhân của PCOS
Hiện tại, các bác sĩ vẫn chưa xác định rõ nguyên nhân chính xác của PCOS, nhưng một số yếu tố được cho là có liên quan bao gồm:
- Thừa cân: Mối liên hệ giữa cân nặng và PCOS khá phức tạp. Tăng cân có thể góp phần phát triển hội chứng, nhưng ngược lại, PCOS cũng có thể khiến cơ thể dễ tăng cân hơn.
- Mức androgen cao: Tình trạng cường androgen này ảnh hưởng đến phần lớn những người mắc PCOS.
- Kháng insulin: Insulin dư thừa có thể tác động đến buồng trứng, gây khó khăn trong việc phóng trứng. Kháng insulin cũng khiến việc tăng cân dễ dàng hơn và việc giảm cân khó khăn hơn.
- Viêm mãn tính mức độ thấp: Viêm kéo dài ở mức độ thấp cũng làm cơ thể sản xuất nhiều androgen hơn bình thường.

Thừa cân, béo phì là một trong những nguyên nhân tăng nguy cơ bị buồng trứng đa nang
Dấu hiệu của hội chứng buồng trứng đa nang (PCOS)
Hội chứng buồng trứng đa nang (PCOS) có biểu hiện đa dạng và không giống nhau ở mỗi người. Các triệu chứng thường tiến triển âm thầm, dễ bị bỏ qua nếu không được theo dõi kỹ. Để dễ nhận biết, dấu hiệu PCOS thường được chia theo từng hệ cơ quan như sau:
- Kinh nguyệt không đều, chu kỳ kéo dài trên 35 ngày hoặc vô kinh nhiều tháng
- Rối loạn rụng trứng, khó thụ thai hoặc hiếm muộn kéo dài
- Rong kinh, rong huyết do nội mạc tử cung chịu tác động hormone kéo dài
- Đau tức vùng bụng dưới liên quan đến buồng trứng
- Tăng hormone androgen (hormone nam) trong máu
- Rậm lông ở mặt, ngực, bụng, đùi (hirsutism)
- Tóc rụng nhiều, hói đầu kiểu nam
- Giảm progesterone gây mất cân bằng nội tiết
- Mụn trứng cá kéo dài, khó điều trị, đặc biệt ở mặt và lưng
- Da nhờn, lỗ chân lông to
- Sạm da, thâm sẫm vùng cổ, nách, bẹn (dấu hiệu đề kháng insulin)
- Tăng cân nhanh, béo bụng dù ăn uống không nhiều
- Đề kháng insulin, tăng nguy cơ đái tháo đường type 2
- Mệt mỏi, rối loạn giấc ngủ, thay đổi tâm trạng

Hội chứng buồng trứng đa nang (PCOS) là một rối loạn nội tiết phổ biến ở phụ nữ trong độ tuổi sinh sản
Chẩn đoán buồng trứng đa nang
Hội chứng buồng trứng đa nang (PCOS) được chẩn đoán chủ yếu dựa trên tiêu chuẩn Rotterdam, hiện đang được áp dụng rộng rãi trong lâm sàng. Theo đó, bác sĩ sẽ xác định PCOS khi người bệnh có ít nhất 2 trong 3 tiêu chí dưới đây, sau khi đã loại trừ các nguyên nhân nội tiết khác.
- Rối loạn phóng noãn hoặc rối loạn kinh nguyệt. Người có kinh nguyệt thưa (chu kỳ > 35 ngày), vô kinh hoặc kinh không đều kéo dài,... là dấu hiệu không rụng trứng hoặc rụng trứng không đều, thường đi kèm khó thụ thai, hiếm muộn
- Dấu hiệu tăng androgen (lâm sàng hoặc cận lâm sàng) với biểu hiện bên ngoài: rậm lông, mụn trứng cá nặng, rụng tóc kiểu nam. Khi xét nghiệm máu cho thấy nồng độ androgen tăng cao, có thể xuất hiện ngay cả khi kinh nguyệt chưa rối loạn rõ
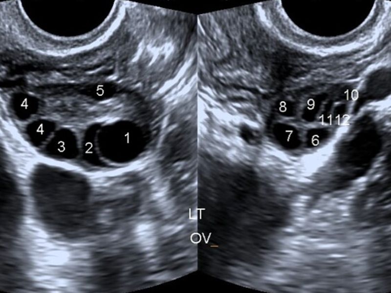
- Hình ảnh buồng trứng đa nang trên siêu âm, đó là buồng trứng có nhiều nang nhỏ (thường ≥ 12 nang mỗi bên), nang sắp xếp dọc ngoại vi buồng trứng, tăng thể tích buồng trứng, siêu âm qua đường âm đạo cho kết quả chính xác hơn
Các biến chứng của PCOS
Khi mắc PCOS, bạn có nguy cơ cao gặp phải nhiều vấn đề sức khỏe khác, bao gồm:
- Khó mang thai: Mất cân bằng hormone có thể ảnh hưởng đến quá trình rụng trứng, khiến việc thụ thai trở nên khó khăn. Tuy nhiên, người mắc PCOS vẫn có thể mang thai nếu sử dụng thuốc và điều trị với chuyên gia về sinh sản.
- Biến chứng trong thai kỳ: Mặc dù hầu hết người mắc PCOS có thể có thai kỳ khỏe mạnh, nhưng nguy cơ mắc tiểu đường thai kỳ và cao huyết áp (tiền sản giật) tăng lên. PCOS cũng làm tăng nguy cơ sinh non, sinh mổ và sảy thai.
- Vấn đề về insulin và tiểu đường: Khi bị kháng insulin, các tế bào trong cơ thể không hấp thụ đường hiệu quả, dẫn đến lượng đường thừa trong máu. Kháng insulin thường không gây triệu chứng cho đến khi đường máu tăng cao dẫn đến tiểu đường. Hơn một nửa số người mắc PCOS sẽ phát triển thành tiểu đường tuýp 2 trước tuổi 40.
- Hội chứng chuyển hóa: Tập hợp các triệu chứng như triglyceride cao, cholesterol HDL thấp, huyết áp cao và đường máu cao, làm tăng nguy cơ mắc bệnh tim mạch.
Các biến chứng khác có thể bao gồm:
- Trầm cảm
- Lo âu
- Chảy máu tử cung và nguy cơ cao mắc ung thư tử cung hoặc ung thư nội mạc tử cung
- Rối loạn giấc ngủ, bao gồm ngưng thở khi ngủ
- Viêm gan

Biến chứng nguy hiểm của buồng trứng đa nang
Quản lý và điều trị hội chứng buồng trứng đa nang PCOS
Điều trị hội chứng buồng trứng đa nang (PCOS) không có một phác đồ chung cho tất cả mọi người. Mục tiêu chính là kiểm soát triệu chứng, điều hòa nội tiết, phòng ngừa biến chứng lâu dài và hỗ trợ sinh sản khi cần. Quản lý PCOS thường kết hợp thay đổi lối sống và điều trị y tế, cụ thể qua các nhóm sau:
Thay đổi lối sống
Thay đổi lối sống được xem là bước quan trọng đầu tiên trong điều trị PCOS, đặc biệt với phụ nữ thừa cân hoặc có đề kháng insulin. Giảm từ 5–10% cân nặng có thể giúp cải thiện đáng kể chu kỳ kinh nguyệt và khả năng rụng trứng. Chế độ sinh hoạt khoa học giúp điều hòa hormone và giảm nguy cơ biến chứng chuyển hóa.
- Duy trì chế độ ăn cân bằng, hạn chế tinh bột tinh chế và đường
- Tăng cường rau xanh, chất xơ, protein lành mạnh
- Tập luyện thể dục đều đặn ít nhất 150 phút/tuần
- Ngủ đủ giấc, kiểm soát stress, đây là yếu tố ảnh hưởng nội tiết
- Theo dõi cân nặng và vòng eo định kỳ
Quản lý cân nặng
Không phải ai mắc PCOS cũng thừa cân, nhưng nhiều người gặp vấn đề này. Tăng cân quá mức có thể ảnh hưởng đến hormone trong cơ thể. Nếu bạn bị béo phì hoặc thừa cân, giảm cân có thể giúp điều chỉnh mức hormone. Giảm chỉ 10% trọng lượng cơ thể cũng có thể giúp chu kỳ kinh nguyệt trở nên đều đặn hơn.
Bác sĩ có thể khuyên bạn chọn thực phẩm ít calo và chất béo, đồng thời kiểm soát khẩu phần ăn. Tuy nhiên, giảm cân không phải là điều dễ dàng. Một chuyên gia dinh dưỡng có thể hỗ trợ bạn, và bạn cũng có thể thử ghi chép lại chế độ ăn hoặc sử dụng ứng dụng để theo dõi bữa ăn và đồ ăn vặt, điều này sẽ giúp dễ dàng hơn.

Quản lý cân nặng
Chế độ ăn cho PCOS
Để kiểm soát đường huyết, bác sĩ có thể gợi ý bạn tập trung vào các thực phẩm ít đường và tinh bột tinh chế. Một số carbohydrate như trong rau quả và trái cây giàu chất xơ là rất tốt. Tuy nhiên, bạn nên hạn chế tinh bột tinh chế như bột mì trắng, gạo trắng, khoai tây trắng, đường và thực phẩm chế biến sẵn, vì chúng có chỉ số glycemic cao, khiến đường huyết tăng nhanh.
Các thực phẩm lành mạnh khác như gia cầm, thịt nạc, cá và ngũ cốc nguyên hạt cũng có lợi cho việc kiểm soát đường huyết. Hãy cố gắng duy trì các bữa ăn đều đặn, vì việc này giúp cơ thể ổn định mức insulin.
Tập thể dục
Tập thể dục thường xuyên giúp đốt cháy calo và tăng khối lượng cơ bắp, điều này giúp giảm kháng insulin, từ đó làm giảm mức androgen và cải thiện triệu chứng. Tập thể dục cũng giúp nâng cao tâm trạng và tự tin.
Ngủ đủ giấc
Thiếu ngủ có thể gây mất cân bằng hormone, kháng insulin và tăng cân. Để có giấc ngủ ngon, hãy thử những mẹo sau:
- Đi ngủ và thức dậy vào cùng một giờ mỗi ngày
- Tránh sử dụng điện thoại, máy tính gần giờ đi ngủ
- Đảm bảo phòng ngủ tối, mát mẻ và yên tĩnh
Nếu bạn thường xuyên gặp khó khăn trong việc ngủ ít nhất 7 giờ mỗi đêm, hãy thảo luận với bác sĩ.
Giảm căng thẳng
PCOS có thể gây căng thẳng, và căng thẳng lại có thể làm triệu chứng tồi tệ hơn. Cơ thể sẽ sản sinh cortisol (hormone căng thẳng) từ progesterone và các hormone khác, điều này có thể làm mất cân bằng hormone trong cơ thể. Căng thẳng cũng có thể gây tăng cân và trầm cảm, những vấn đề phổ biến ở người mắc PCOS. Tập thể dục và các kỹ thuật quản lý căng thẳng như thiền và bài tập thở có thể giúp bạn cảm thấy thư giãn hơn.
Giới hạn caffeine
Một lượng caffeine vừa phải (khoảng 4 tách cà phê mỗi ngày) là ổn, nhưng nếu tiêu thụ quá nhiều, có thể ảnh hưởng đến giấc ngủ và làm mất cân bằng hormone. Hãy hỏi bác sĩ xem bạn có nên giảm lượng caffeine hay không.
Tránh các chất gây rối loạn nội tiết
Chất gây rối loạn nội tiết, như bisphenol (BPA), parabens, phthalates và triclosan, được cho là nguyên nhân gây mất cân bằng hormone và có thể liên quan đến PCOS. Những chất này có trong nhựa, mỹ phẩm, hóa chất công nghiệp và thuốc trừ sâu, và có thể làm ô nhiễm thực phẩm, nước, đất và không khí. Dù khó tránh hoàn toàn, bạn có thể giảm tiếp xúc với chúng bằng cách:
- Tránh các sản phẩm có hương liệu
- Lưu trữ thực phẩm trong hộp thủy tinh hoặc thép không gỉ thay vì nhựa
- Tránh thực phẩm trong hộp có lớp lót BPA
- Rửa tay thường xuyên, đặc biệt trước khi ăn
- Sử dụng máy hút bụi có bộ lọc HEPA
Điều trị nội khoa bằng thuốc
Thuốc được sử dụng nhằm điều hòa kinh nguyệt, giảm androgen và cải thiện đề kháng insulin. Việc dùng thuốc cần tuân theo chỉ định của bác sĩ chuyên khoa để đảm bảo an toàn, đặc biệt ở phụ nữ chưa có kế hoạch mang thai.
- Thuốc tránh thai phối hợp giúp điều hòa chu kỳ kinh
- Thuốc giảm androgen hỗ trợ cải thiện mụn và rậm lông
- Thuốc cải thiện đề kháng insulin (như metformin)
- Điều chỉnh liều lượng tùy theo đáp ứng của từng người bệnh
Hỗ trợ sinh sản cho phụ nữ khó thụ thai
Với những phụ nữ PCOS mong muốn mang thai, mục tiêu điều trị tập trung vào kích thích rụng trứng và cải thiện khả năng thụ thai. Việc can thiệp sớm giúp tăng tỷ lệ mang thai tự nhiên và giảm biến chứng thai kỳ.
- Thuốc kích thích rụng trứng theo chỉ định
- Theo dõi nang noãn bằng siêu âm
- Hỗ trợ sinh sản (IUI, IVF) trong trường hợp cần thiết
- Kết hợp kiểm soát cân nặng và nội tiết trong suốt quá trình điều trị
Quản lý PCOS là quá trình lâu dài và tùy thuộc theo tình trạng của mỗi người, vì vậy phụ nữ nên thăm khám định kỳ tại cơ sở y tế chuyên khoa để được tư vấn và theo dõi phù hợp.
Quy trình kiểm tra PCOS
Không có một xét nghiệm duy nhất nào để chẩn đoán PCOS. Bác sĩ sẽ bắt đầu bằng cách hỏi về triệu chứng và tiền sử y tế của bạn, đồng thời kiểm tra các dấu hiệu như mụn trứng cá, lông mặt, và lông cơ thể.
Bác sĩ có thể thực hiện khám vùng chậu, trong đó, họ đeo găng tay và đưa tay vào âm đạo để cảm nhận cơ quan sinh sản, xem buồng trứng có to ra hoặc có bất thường nào khác không.
Họ cũng có thể thực hiện siêu âm để kiểm tra xem có nang trong buồng trứng và đo độ dày niêm mạc tử cung. Với siêu âm qua ngã âm đạo, bác sĩ sẽ đặt một đầu dò vào âm đạo để tạo hình ảnh chi tiết của cơ quan sinh sản.
Bạn cũng có thể cần làm xét nghiệm máu để kiểm tra mức androgen và các hormone khác.
Các xét nghiệm bổ sung có thể cần thực hiện
Nếu bác sĩ nghi ngờ bạn mắc PCOS, họ có thể đề nghị thêm một số xét nghiệm để kiểm tra các vấn đề sức khỏe khác không liên quan trực tiếp đến PCOS, bao gồm:
- Đo huyết áp
- Xét nghiệm máu để kiểm tra lượng đường, cholesterol và triglyceride
- Sàng lọc sức khỏe tâm lý
- Kiểm tra chứng ngưng thở khi ngủ
Câu hỏi thường gặp về PCOS
PCOS có phải do di truyền không?
Mối liên hệ di truyền của PCOS vẫn chưa rõ ràng, nhưng nguy cơ mắc hội chứng này sẽ cao hơn nếu bạn có người thân gần (như mẹ hoặc chị em gái) cũng mắc. Khoảng 20%-40% người mắc PCOS có mẹ hoặc chị em gái gặp tình trạng này. Điều này có thể liên quan đến cả yếu tố di truyền và lối sống tương tự.
Có thể mắc PCOS mà không có triệu chứng?
Đôi khi, PCOS không gây ra triệu chứng rõ ràng hoặc triệu chứng nhẹ đến mức khó nhận biết. Do đó, cùng với việc nhiều tình trạng khác cũng có thể gây rối loạn chu kỳ kinh nguyệt tương tự, việc chẩn đoán PCOS có thể cần thời gian.
Làm thế nào để biết bản thân có mắc PCOS hay không?
Các triệu chứng phổ biến của PCOS bao gồm chu kỳ kinh nguyệt không đều, mụn trứng cá, mọc lông quá mức và khó mang thai. Tuy nhiên, một số người có thể không gặp phải những triệu chứng này. Nếu bạn nghi ngờ mình mắc PCOS, hãy tham khảo ý kiến bác sĩ.
PCOS có tự khỏi không?
PCOS không thể hoàn toàn khỏi, nhưng triệu chứng có thể cải thiện theo thời gian hoặc khi được điều trị. Ví dụ, mãn kinh có thể gây ra những thay đổi hormone giúp giảm triệu chứng của PCOS.
Tôi có thể mang thai tự nhiên khi mắc PCOS không?
Người mắc PCOS thường gặp khó khăn trong việc mang thai, nhưng có nhiều phương pháp điều trị có thể hỗ trợ. Mặc dù bạn vẫn có thể rụng trứng và có kinh nguyệt, nhưng điều này thường không đều và khó xác định thời điểm. Do đó, việc mang thai tự nhiên có thể khó khăn, nhưng không phải là không thể.

Bạn vẫn có thể mang thai tự nhiên nhưng tỷ lệ sẽ giảm rất nhiều
Hội chứng buồng trứng đa nang (PCOS) là rối loạn nội tiết phổ biến nhưng hoàn toàn có thể kiểm soát hiệu quả nếu được phát hiện sớm và điều trị đúng hướng. Hiểu rõ dấu hiệu, yếu tố nguy cơ và tuân thủ kế hoạch quản lý lâu dài sẽ giúp phụ nữ ổn định nội tiết, bảo vệ khả năng sinh sản và phòng ngừa biến chứng chuyển hóa nguy hiểm. Nếu bạn đang gặp tình trạng kinh nguyệt không đều, khó thụ thai, tăng cân hoặc rối loạn hormone, đừng chần chừ. Hãy đến Phòng khám 125 Thái Thịnh để được đội ngũ bác sĩ chuyên khoa sản uy tín với hệ thống máy móc y tế hiện đại sẽ thăm khám, tư vấn và hỗ trợ kiểm soát, điều trị hiệu quả.
Nguồn tham khảo:
https://www.who.int/news-room/fact-sheets/detail/polycystic-ovary-syndrome
https://www.cdc.gov/diabetes/risk-factors/pcos-polycystic-ovary-syndrome.html




