Siêu âm thai 12 tuần là một trong những mốc quan trọng giúp mẹ bầu có thể theo dõi sự phát triển của thai nhi, đồng thời các bác sĩ có thể phát hiện ra những bất thường nếu có. Tại thời điểm này, thông qua siêu âm, các bác sĩ có thể đánh giá chỉ số quan trọng như CRL (chiều dài đầu - mông), NT ( độ mờ da gáy), nhịp tim thai và quan sát tổng quan về túi thai và bánh nhau. Tại mốc 12 tuần, mẹ cũng có thể dễ dàng theo dõi sức khỏe và tăng cường kết nối với con yêu thông qua siêu âm 2D, 5D và trải nghiệm thai kỳ an tâm, khỏe mạnh.
Vì sao mốc siêu âm thai 12 tuần lại quan trọng?
Mốc siêu âm thai 12 tuần là lần siêu âm được thực hiện khi thai nhi ở tuần thứ 11–13, được xem là cột mốc quan trọng trong thai kỳ. Ở thời điểm này, thai nhi đã phát triển tương đối đầy đủ về hình thái cơ bản, chiều dài đầu-mông (CRL) và các cơ quan quan trọng bắt đầu hình thành.
Bác sĩ sẽ tiến hành đo các chỉ số quan trọng, đặc biệt là độ mờ da gáy (NT), để đánh giá nguy cơ dị tật nhiễm sắc thể. Đây cũng là thời điểm thích hợp để mẹ bầu trải nghiệm hình ảnh thai nhi qua siêu âm 2D, 5D để nắm rõ tình trạng sức khỏe tổng thể của thai nhi.
Siêu âm thai 12 tuần giúp các bác sĩ:
- Đánh giá tuổi thai và dự kiến ngày sinh thông qua chỉ số CRL, bác sĩ xác định tuổi thai chính xác hơn so với dự kiến ban đầu.
- Sàng lọc nguy cơ dị tật bẩm sinh nhờ đo độ mờ da gáy NT giúp phát hiện các nguy cơ liên quan đến hội chứng Down và các bất thường nhiễm sắc thể khác.
- Theo dõi nhịp tim và sức khỏe thai nhi phản ánh sự phát triển tim mạch và sinh lý cơ bản.
- Quan sát tổng quan túi thai, bánh nhau và dịch ối, giúp phát hiện các vấn đề về nhau thai hoặc thai ngoài tử cung.
- Làm cơ sở cho các mốc siêu âm tiếp theo, giúp các bác sĩ lựa chọn các xét nghiệm, siêu âm bổ sung trong các mốc sau.
- Tăng kết nối mẹ với thai nhi, giúp mẹ yên tâm tận hưởng thai kỳ khỏe mạnh.

Siêu âm thai 12 tuần giúp phát hiện những bất thường nếu có
Các chỉ số mẹ bầu cần quan tâm khi siêu âm thai 12 tuần
CRL – Chiều dài đầu- mông
CRL (Crown-Rump Length – chiều dài đầu - mông) là chỉ số đo từ đỉnh đầu đến mông của thai nhi, là cơ sở quan trọng để đánh giá tuổi thai chính xác và dự kiến ngày sinh. Ở tuần 12, CRL thường dao động từ 45–84 mm tùy vào sự phát triển của từng thai nhi. Chỉ số này còn giúp bác sĩ so sánh sự phát triển của thai nhi so với mức chuẩn, phát hiện sớm các bất thường về tăng trưởng.
- Xác định tuổi thai chính xác, điều chỉnh ngày dự sinh.
- Theo dõi tăng trưởng bình thường của thai nhi.
- Phát hiện các nguy cơ chậm phát triển bào thai.
- Là cơ sở tham chiếu cho các mốc siêu âm tiếp theo.

Đo chiều dài đầu mông
NT – Độ mờ da gáy
Độ mờ da gáy (Nuchal Translucency – NT) là lớp dịch phía sau gáy thai nhi được đo trong tuần 11–13. Đây là chỉ số quan trọng để sàng lọc nguy cơ dị tật nhiễm sắc thể, đặc biệt là hội chứng Down. Chỉ số NT > 3 mm có thể là dấu hiệu cần làm thêm xét nghiệm NIPT hoặc chọc ối để đánh giá chính xác.
- Sàng lọc nguy cơ hội chứng Down và các dị tật nhiễm sắc thể khác.
- Phát hiện bất thường tim bẩm sinh hoặc một số dị tật khác.
- Giúp bác sĩ quyết định hướng xét nghiệm bổ sung.
- Tăng khả năng can thiệp sớm nếu có bất thường.

Độ mờ da gáy
Nhịp tim thai
Nhịp tim thai là chỉ số phản ánh sự phát triển tim mạch và sinh lý của thai nhi. Ở tuần 12, nhịp tim thường từ 110–160 nhịp/phút. Bác sĩ sẽ theo dõi nhịp tim để phát hiện các dấu hiệu bất thường như nhịp tim quá chậm hoặc quá nhanh, có thể liên quan đến các vấn đề tim bẩm sinh hoặc tình trạng sức khỏe của mẹ.
- Đánh giá sự hoạt động bình thường của tim thai.
- Phát hiện sớm các bất thường tim bẩm sinh.
- Giúp theo dõi phản ứng thai với môi trường tử cung.
- Là cơ sở để tư vấn chế độ dinh dưỡng và chăm sóc mẹ.

Đo nhịp tim thai
Túi thai và bánh nhau
Túi thai và bánh nhau cung cấp thông tin quan trọng về môi trường phát triển của thai nhi. Bác sĩ sẽ kiểm tra vị trí, kích thước, sự bám của nhau thai và lượng dịch ối. Đây là yếu tố quyết định đến sức khỏe tổng thể của thai nhi, giúp phát hiện sớm các vấn đề như nhau bám thấp, thai ngoài tử cung hoặc thiểu ối.
- Xác định vị trí và sự phát triển bình thường của bánh nhau.
- Đánh giá lượng dịch ối, túi thai, phát hiện nguy cơ bất thường.
- Phát hiện sớm các vấn đề nhau tiền đạo hoặc nhau bong non.
- Hỗ trợ quyết định chế độ theo dõi thai kỳ.

Túi và nhau thai
Các chỉ số bổ sung và tổng quan sức khỏe
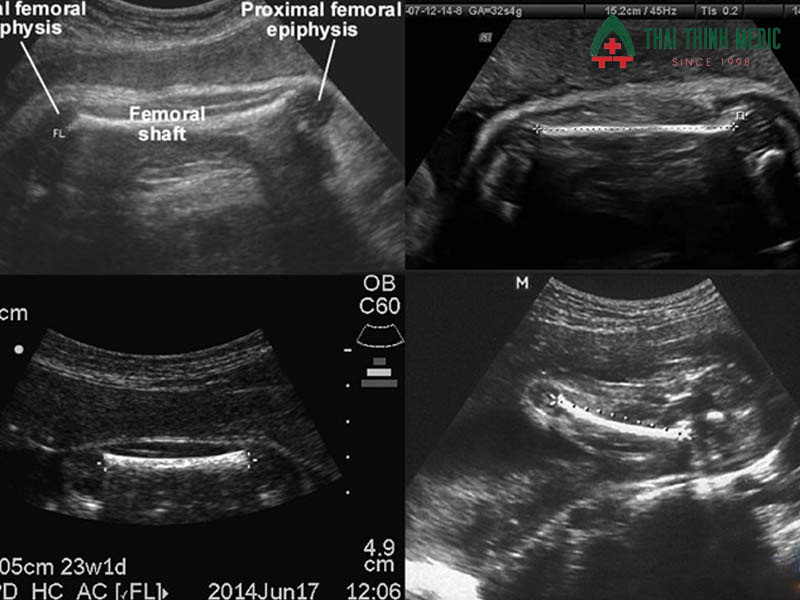
Ngoài CRL, NT, nhịp tim và túi thai, bác sĩ còn quan sát các chỉ số bổ sung như chiều dài xương đùi, kích thước đầu và bụng, nhằm đánh giá toàn diện sự phát triển của thai. Các chỉ số này giúp phát hiện sớm tình trạng chậm phát triển hoặc bất thường, từ đó lập kế hoạch theo dõi và can thiệp kịp thời.
- Đánh giá sự phát triển cân đối của thai nhi.
- Phát hiện các nguy cơ bất thường sớm.
- Là cơ sở lập hồ sơ sức khỏe thai kỳ chuẩn xác.
- Giúp mẹ bầu yên tâm theo dõi và chăm sóc thai.

Chiều dài xương đùi
Quy trình siêu âm thai 12 tuần
- Mẹ bầu đặt lịch thăm khám qua điện thoại/ website/ fanpage hoặc đăng ký khám trực tiếp tại quầy.
- Đến quầy cung cấp thông tin đặt khám với nhân viên.
- Mẹ bầu được thăm khám, trao đổi thông tin với bác sĩ chuyên khoa và chỉ định siêu âm thai tuần 12.
- Nhân viên y tế sẽ hướng dẫn mẹ vào phòng siêu âm, giải thích mục đích và các chỉ số cần đo.
- Siêu âm 2D: Bác sĩ tiến hành đo các chỉ số cơ bản như CRL, NT, nhịp tim thai và quan sát túi thai, bánh nhau, dịch ối.
- Siêu âm 5D: Cho hình ảnh rõ nét hơn về gương mặt và hình thái thai, giúp mẹ kết nối sớm với con.
- Bác sĩ ghi nhận, phân tích và so sánh với mức chuẩn để phát hiện bất thường nếu có.
- Sau khi hoàn tất, bác sĩ giải thích kết quả chi tiết, đưa ra hướng theo dõi hoặc xét nghiệm bổ sung nếu cần.

Thăm khám và siêu âm thai
Mẹ bầu cần chuẩn bị những gì trước khi siêu âm?
- Trước khi siêu âm, mẹ nên uống khoảng 500ml nước khoảng 30 phút để bàng quang căng vừa, giúp hình ảnh thai nhi rõ ràng hơn.
- Ưu tiên quần áo dễ kéo lên hoặc váy rộng, giúp bác sĩ tiếp cận vùng bụng thuận tiện.
- Mang theo hồ sơ thai kỳ, bao gồm sổ khám, kết quả siêu âm và xét nghiệm trước đó, giúp bác sĩ so sánh và theo dõi sự phát triển.
- Thư giãn và nghỉ ngơi, tránh căng thẳng, mệt mỏi trước khi siêu âm để quá trình diễn ra chính xác và thoải mái.
- Thời gian siêu âm tuần 12 thường kéo dài 20–30 phút.
- Không cần nhịn ăn trước siêu âm, trừ khi có chỉ định riêng từ bác sĩ.
- Mẹ bầu nên ghi lại thắc mắc để hỏi bác sĩ ngay trong buổi khám.
Câu hỏi thường gặp khi siêu âm thai 12 tuần
Siêu âm thai 12 tuần có biết được giới tính không?
Ở tuần 12, bộ phận sinh dục của thai nhi chưa phát triển hoàn thiện nên việc xác định giới tính chưa chính xác. Thông thường, mẹ nên chờ đến siêu âm tuần 16–20 để xác định rõ ràng.
Có cần nhịn ăn trước khi siêu âm tuần 12 không?
Thông thường, mẹ không cần nhịn ăn. Tuy nhiên, cần uống đủ nước trước khi siêu âm để bàng quang căng, giúp hình ảnh thai nhi rõ nét hơn.
Siêu âm 12 tuần có phát hiện được dị tật không?
Siêu âm tuần 12 giúp đánh giá chỉ số CRL, NT, nhịp tim và cấu trúc thai cơ bản, hỗ trợ sàng lọc nguy cơ dị tật bẩm sinh hoặc hội chứng Down. Một số bất thường có thể cần xét nghiệm bổ sung như NIPT.

Kêt hợp xét nghiệm NIPT giúp phát hiện sớm dị tật bẩm sinh
Bao lâu nên đi siêu âm tiếp theo sau tuần 12?
Sau tuần 12, mẹ bầu thường được hẹn siêu âm ở các mốc: 16 tuần, 20 tuần (siêu âm hình thái), 28 tuần và các lần theo dõi khác tùy chỉ định của bác sĩ.
Siêu âm 2D hay 5D ở tuần 12 nên chọn loại nào?
Lựa chọn siêu âm 2D hay 5D phụ thuộc vào mục đích và tư vấn của bác sĩ.
- 2D: đánh giá sức khỏe thai và đo chỉ số cơ bản.
- 5D: hình ảnh rõ nét, quan sát hình thái và gương mặt thai nhi.
Theo dõi các chỉ số quan trọng khi siêu âm thai 12 tuần giúp mẹ bầu nắm rõ sức khỏe của cả mẹ và thai nhi, giúp phát hiện sớm các bất thường của trẻ. Chính vì thế, mẹ bầu có thể yên tâm hơn trong suốt thai kỳ. Thông qua các chỉ số siêu âm, các bác sĩ sẽ đưa ra quyết định chăm sóc phù hợp, giúp mẹ và bé khỏe mạnh, phát triển toàn diện.
Đến với Phòng khám 125 Thái Thịnh - Thai Thinh Medic, mẹ sẽ được tư vấn chi tiết, thực hiện siêu âm bằng thiết bị hiện đại, đồng thời trải nghiệm dịch vụ chăm sóc tận tâm, an toàn. Liên hệ ngay để đặt lịch siêu âm và nhận sự đồng hành chuyên nghiệp trong hành trình mang thai.




