Trong quá trình khám thai định kỳ, không ít mẹ được thông báo siêu âm tim thai hở van 3 lá. Đây có thể là hiện tượng sinh lý thoáng qua nhưng cũng có thể là dấu hiệu trẻ gặp bất thường. Việc hiểu đúng về tình trạng này sẽ giúp mẹ bầu yên tâm hơn và có hướng theo dõi phù hợp. Đọc ngay bài viết sau để được bác sĩ chuyên khoa tư vấn!
1. Kết quả siêu âm tim thai hở van 3 lá là gì?
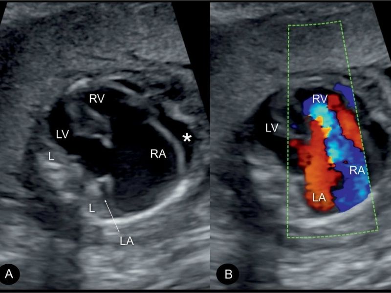
Siêu âm tim thai hở van 3 lá là một trong những tình trạng có thể gặp phải trong các lần kiểm tra tim mạch thai nhi. Hở van 3 lá là bất thường ở van tim, đặc trưng bởi tình trạng máu chảy ngược từ tâm thất phải lên tâm nhĩ phải do van ba lá không đóng kín trong thì tâm thu. Van ba lá nằm giữa tâm nhĩ phải và tâm thất phải, có vai trò điều tiết dòng máu một chiều trong hệ thống tuần hoàn của tim. Khi van này bị hở, máu sẽ trào ngược trở lại thay vì tiếp tục di chuyển theo hướng bình thường, gây áp lực lên tâm nhĩ và ảnh hưởng đến hiệu suất bơm máu của tim.
Hở van 3 lá có thể xuất hiện ở cả thai nhi khỏe mạnh hoặc thai có bất thường nhiễm sắc thể hoặc xuất phát từ những nguyên nhân khác. Siêu âm tim thai là phương pháp chính xác và an toàn giúp phát hiện sớm những bất thường này ngay từ những tuần thai đầu tiên. Thông thường, cấu trúc van ba lá có thể quan sát rõ trong khoảng tuần thai 11 - 14.
Khi siêu âm Doppler trong thai kỳ, bác sĩ có thể ghi nhận hở van 3 lá khi phát hiện dòng chảy ngược nếu vận tốc dòng chảy ngược từ 60 - 80 cm/giây trở lên và kéo dài ít nhất một nửa thì tâm thu trong giai đoạn thai nhi nghỉ ngơi. Sự xuất hiện của dòng ngược chiều (biểu hiện bằng màu sắc khác biệt và hiện tượng aliasing trên Doppler màu) là cơ sở quan trọng để xác định tình trạng hở van ba lá ở thai nhi.
Phát hiện siêu âm tim thai hở van 3 lá không phải lúc nào cũng đồng nghĩa với bệnh lý nặng, nhưng nó cần được theo dõi kỹ và đánh giá chuyên sâu bởi bác sĩ tim mạch bẩm sinh để loại trừ nguy cơ dị tật tim có ý nghĩa.

Kết quả siêu âm tim thai hở van 3 lá là gì?
2. Nguyên nhân thấy hở van 3 lá khi siêu âm tim thai
Việc phát hiện hở van 3 lá khi siêu âm tim thai có thể bắt nguồn từ nhiều yếu tố khác nhau, bao gồm cả nguyên nhân sinh lý lẫn bệnh lý. Trong nhiều trường hợp, siêu âm tim thai ghi nhận hở van 3 lá ¼ không kèm theo bất thường hình thái hoặc chức năng tim khác của tim. Đây có thể chỉ là hiện tượng sinh lý tạm thời do sự chưa hoàn thiện trong cấu trúc van tim ở giai đoạn phát triển sớm của thai nhi. Tình trạng này thường không gây ảnh hưởng nghiêm trọng và có thể tự cải thiện khi thai lớn dần.
Tuy nhiên, nếu hở van đi kèm với bất thường cấu trúc tim hoặc dấu hiệu bất thường khác, đây có thể là biểu hiện của dị tật tim bẩm sinh hoặc bất thường nhiễm sắc thể. Dị tật hở van 3 lá - là một trong những dị tật tim bẩm sinh phổ biến nhất, chiếm khoảng 10% các trường hợp tim bẩm sinh.
Một số nguyên nhân bệnh lý hoặc dị tật có thể dẫn đến hở van ba lá:
- Khuyết tật tim bẩm sinh như bệnh Ebstein (Dị dạng van tim 3 lá), teo phổi có khuyết tật vách liên thất, co thắt ống động mạch, loạn sản van tim 3 lá,...
- Hội chứng Trisomy 21, 18 và 13 (hội chứng Down, Edwards và hội chứng Patau).
- Thai nhi bị tràn dịch màng phổi
- Thai nhi chậm tăng trưởng trong tử cung.
- Do mẹ mắc bệnh như tiểu đường thai kỳ, lupus ban đỏ hệ thống, phenylketon niệu,...
- Mẹ sử dụng thuốc không an toàn (Isotretinoin) hoặc sử dụng rượu bia, thuốc lá, chất kích thích trong thai kỳ.
- Mẹ nhiễm virus như cytomegalovirus, toxoplasma, rubella trong thai kỳ,...
- Di truyền: gia đình có người mắc bệnh tim bẩm sinh.
Tuy nhiên, cũng có nhiều trường hợp không thể xác định được nguyên nhân thai nhi bị hở van 3 bá.

Nguyên nhân thấy hở van 3 lá khi siêu âm tim thai
3. Thai nhi bị hở van tim 3 lá có sao không?
Việc phát hiện siêu âm tim thai hở van 3 lá có thể khiến nhiều cha mẹ lo lắng, tuy nhiên mức độ ảnh hưởng đến sức khỏe thai nhi không phải lúc nào cũng nghiêm trọng. Tùy vào nguyên nhân gây hở van và mức độ nặng nhẹ, bác sĩ sẽ đưa ra đánh giá chính xác về tiên lượng cũng như hướng theo dõi trong thai kỳ.
Trường hợp hở van ba lá sinh lý
Ở một số thai nhi khỏe mạnh, hiện tượng hở van ba lá mức độ nhẹ không ảnh hưởng đến sự phát triển của thai nhi. Bé khi sinh ra vẫn hoàn toàn bình thường, không gặp vấn đề về tim mạch hay sức khỏe nào khác.
Nếu các kết quả sàng lọc dị tật trước sinh như siêu âm hình thái học, xét nghiệm di truyền (NIPT, chọc ối...), và siêu âm tim thai chuyên sâu đều không ghi nhận bất thường nào, thì mẹ bầu hoàn toàn có thể yên tâm tiếp tục theo dõi thai kỳ bình thường, không cần can thiệp gì đặc biệt.
Hở van ba lá do bệnh lý, di truyền hoặc dị tật khác
Nếu thai nhi hở van 3 lá đi kèm với các dấu hiệu bất thường khác có nguy cơ ảnh hưởng đến sức khỏe thai nhi với các biến chứng nguy hiểm như suy tim thai, rối loạn nhịp tim, nặng hơn là tràn dịch đa màng, phù thai, thậm chí đe dọa tính mạng của trẻ.
Mức độ nghiêm trọng và tiên lượng sẽ phụ thuộc vào:
- Nguyên nhân gây bệnh
- Mức độ hở van
- Khả năng bù trừ của tim thai
- Thời điểm phát hiện
- Sức khỏe của mẹ bầu và bào thai

Thai nhi bị hở van tim 3 lá có sao không?
4. Thai nhi bị hở van tim có chữa được không?
Việc phát hiện siêu âm tim thai hở van 3 lá khiến nhiều gia đình không khỏi lo lắng và đặt ra câu hỏi: Liệu tình trạng này có thể điều trị được hay không? Thực tế, khả năng can thiệp cho thai nhi bị hở van tim và điều trị phụ thuộc vào nhiều yếu tố.
4.1. Trong thai kỳ
Hiện nay, chưa có biện pháp nào có thể điều trị trực tiếp tình trạng hở van tim thai nhi trong bụng mẹ. Khi siêu âm phát hiện bất thường, các bác sĩ sẽ tập trung vào việc theo dõi sát diễn tiến của van tim và các chức năng liên quan như tuần hoàn, nhịp tim.
Một số trường hợp có thể cần theo dõi sát bằng siêu âm tim thai định kỳ, phối hợp hội chẩn với bác sĩ chuyên khoa tim mạch bào thai để đánh giá khả năng can thiệp sau sinh hoặc thậm chí là ngay trong bào thai nếu có thể.
4.2. Sau sinh
Sau khi chào đời, trẻ sẽ được thăm khám kỹ lưỡng tình trạng tim mạch. Dựa trên đánh giá chính xác mức độ hở van ba lá, bác sĩ sẽ chỉ định:
- Theo dõi định kỳ nếu tình trạng nhẹ, không ảnh hưởng đến chức năng tim và tổng trạng của bé.
- Can thiệp tim mạch không xâm lấn hoặc phẫu thuật sửa chữa van tim trong các trường hợp khiếm khuyết nghiêm trọng, có dấu hiệu biến chứng suy tim,...
- Kết hợp điều trị nội khoa để kiểm soát triệu chứng (nếu có) và hỗ trợ chức năng tim.
Bên cạnh đó, trẻ mắc bệnh tim bẩm sinh như hở van tim thường cần được theo dõi dài hạn. Ngay cả khi không phải phẫu thuật sớm, cha mẹ vẫn cần cho trẻ đi kiểm tra định kỳ để đảm bảo tim hoạt động ổn định trong quá trình phát triển.

Thai nhi bị hở van tim có chữa được không?
5. Mẹ bầu cần làm gì khi siêu âm tim thai hở van 3 lá?
Khi nhận được kết quả siêu âm tim thai hở van 3 lá, tâm lý lo lắng của mẹ bầu là điều hoàn toàn dễ hiểu. Tuy nhiên, điều quan trọng nhất lúc này là mẹ bầu nên giữ sự bình tĩnh, tìm hiểu thông tin một cách đúng đắn và phối hợp chặt chẽ với bác sĩ để đảm bảo sức khỏe tốt nhất cho cả mẹ và bé.
Phần lớn các trường hợp hở van ba lá ở thai nhi là dạng sinh lý, có thể tự cải thiện theo thời gian và không ảnh hưởng đến sự phát triển của thai. Vì vậy, mẹ bầu không nên vội hoang mang hay tự mình suy diễn quá mức. Thay vào đó, hãy xem đây là dấu hiệu cần theo dõi kỹ hơn trong suốt thai kỳ.
Ngoài ra, mẹ bầu hãy:
- Thực hiện đầy đủ các xét nghiệm được chỉ định: Sau khi phát hiện bất thường qua siêu âm, bác sĩ có thể chỉ định thêm các xét nghiệm chuyên sâu như xét nghiệm sàng lọc di truyền hoặc hội chẩn với bác sĩ tim mạch bào thai. Việc làm thêm xét nghiệm không có nghĩa là bé chắc chắn có bệnh, mà nhằm mục đích đánh giá toàn diện và loại trừ các yếu tố nguy cơ khác.
- Tuân thủ lịch khám thai và theo dõi sát sao: Mẹ bầu cần tuân thủ lịch khám định kỳ cũng như các mốc siêu âm thai quan trọng do bác sĩ chuyên khoa chỉ định. Việc theo dõi sát giúp phát hiện sớm bất kỳ diễn biến nào của tình trạng hở van tim, từ đó lên kế hoạch can thiệp kịp thời nếu cần thiết.
- Duy trì chế độ dinh dưỡng lành mạnh, giảm căng thẳng: Một lối sống lành mạnh đóng vai trò rất lớn trong việc hỗ trợ sức khỏe tim mạch thai nhi. Mẹ bầu nên ăn đủ chất, tăng cường rau xanh, trái cây, thực phẩm giàu folate, omega-3 và hạn chế đồ ngọt, thức ăn nhanh. Đặc biệt, hãy cố gắng giữ tinh thần thoải mái, tránh áp lực tinh thần kéo dài – bởi stress ở mẹ cũng có thể ảnh hưởng gián tiếp tới tim thai.
- Lên kế hoạch sinh phù hợp nếu bé cần hỗ trợ sau sinh: Trong trường hợp bác sĩ dự đoán thai nhi có thể cần can thiệp y tế sau khi chào đời, mẹ nên sinh tại cơ sở y tế có đầy đủ trang thiết bị hồi sức sơ sinh và chuyên khoa tim mạch nhi. Việc chuẩn bị kỹ lưỡng từ sớm giúp quá trình sinh nở diễn ra an toàn, đồng thời đảm bảo trẻ nhận được sự chăm sóc y tế kịp thời sau sinh.

Mẹ bầu cần làm gì khi siêu âm tim thai hở van 3 lá?
Dù siêu âm tim thai phát hiện hở van 3 lá khiến nhiều mẹ bầu hoang mang, nhưng đừng quên rằng y học ngày nay đã có rất nhiều tiến bộ trong việc phát hiện sớm và can thiệp kịp thời các dị tật tim bẩm sinh. Quan trọng nhất là mẹ cần vững tin, giữ sức khỏe thật tốt và đồng hành cùng bác sĩ trong suốt thai kỳ. Bé yêu sẽ lớn lên mạnh khỏe nếu được yêu thương và chăm sóc đúng cách ngay từ trong bụng mẹ.
Phòng khám 125 Thái Thịnh – đơn vị dẫn đầu về siêu âm thai tại Hà Nội cung cấp dịch vụ siêu âm thai, quản lý thai kỳ trọn vẹn.
Mọi thông tin quý khách vui lòng liên hệ hotline: 097 288 1125 hoặc 0243 853 5522.




